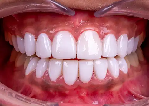
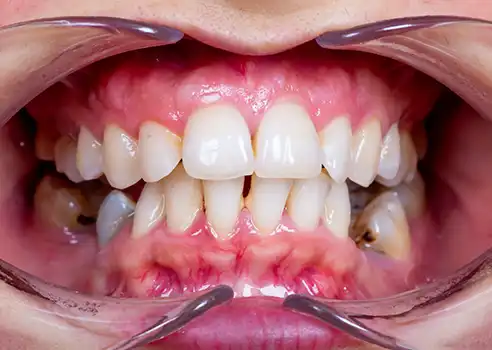
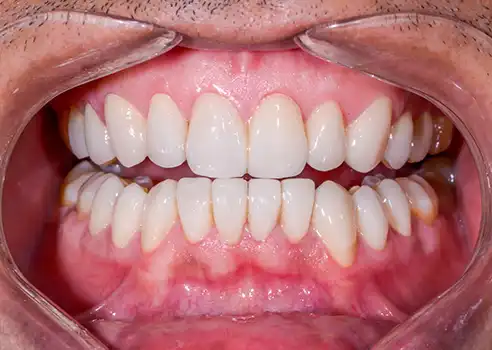
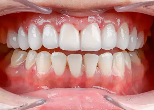
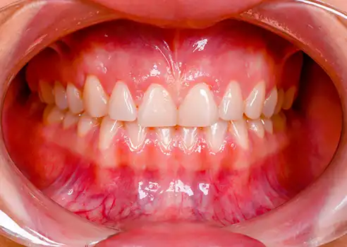
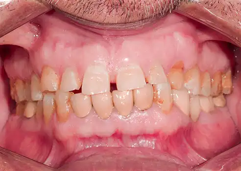
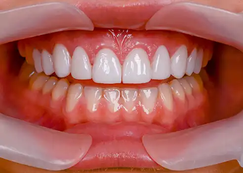
Photo facette dentaire avant après​

Avant Après
Avant Après
Avant Après
Avant Après
Avant Après
Avant Après
Avant Après
Avant Après
Avant Après
Avant Après
Avant Après
Avant Après
Avant Après
Avant Après
Avant Après
Avant Après
Avant Après
Avant Après
Avant Après
Avant Après
Avant Après
Avant Après

Prendre rendez-vous

Prenez rendez-vous dès aujourd’hui pour une consultation gratuite. Notre équipe se fera un plaisir de vous accueillir dans notre clinique moderne et chaleureuse, où vous serez traité avec le plus grand soin et le plus grand professionnalisme.

Chez Hollywood Smile, votre sourire est notre fierté. Contactez-nous dès maintenant et laissez-nous vous aider à révéler la beauté de votre sourire !

    Contactez-nous

    Retour en haut